XÉT NGHIỆM ĐA KHOA
Trang chủ
Tìm kiếm
Trắc nghiệm Online
Upload ảnh
Xin chào quý khách!
Đăng nhập
Đăng ký
Đăng nhập
Tên đăng nhập:
Mật khẩu:
Quên mật khẩu?
Ghi nhớ
Diễn đàn xét nghiệm đa khoa
...::: Nơi chia sẻ kiến thức về Xét nghiệm và Y học :::...
Trang chủ
Thành viên
Giúp đỡ
Tìm kiếm
Diễn đàn xét nghiệm đa khoa
...:::THẢO LUẬN CHUYÊN NGÀNH:::...
Vi sinh Y học
1
2
Tiếp »
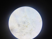
Cho em thắc mắc đây là nấm gì với ạ?
Diễn đàn xét nghiệm đa khoa
...:::THẢO LUẬN CHUYÊN NGÀNH:::...
Vi sinh Y học
1
2
Tiếp »
Cho em thắc mắc đây là nấm gì với ạ?
Diễn đàn xét nghiệm đa khoa
...:::THẢO LUẬN CHUYÊN NGÀNH:::...
Vi sinh Y học
1
2
Tiếp »
Cho em thắc mắc đây là nấm gì với ạ?
Tìm kiếm mọi thứ bạn cần tại đây
Đăng chủ đề
Đánh giá chủ đề:
88 Vote(s) - Trung bình 2.49
Cho em thắc mắc đây là nấm gì với ạ?
truongkk110
Offline
Thành viên thử việc
Bài viết:
1
Chủ đề:
1
Gia nhập:
Nov 2019
Danh tiếng:
0
Thanks: 0
Given 0 thank(s) in 0 post(s)
Points:
0$
#1
11-24-2019, 04:43 PM
tuyenlab
Offline
Administrator
Bài viết:
3,645
Chủ đề:
1,637
Gia nhập:
Dec 2011
Danh tiếng:
8
Thanks: 5
Given 91 thank(s) in 82 post(s)
Points:
29,764.32$
#2
12-02-2019, 09:59 PM
Ít nhất bạn cũng phải cho mọi người biết đây là bệnh phẩm gì? soi VK bao nhiêu?
Chất lượng xét nghiệm
|
QLAB SHOP
TUYENLAB
|
MedQuizzes - Medical Quizzes
Đăng chủ đề
«
Bài trước
|
Bài tiếp theo
»
Thành viên đang xem chủ đề: 1 Khách
Xem ở phiên bản có thể in
Theo dõi chủ đề này
© Diễn đàn xetnghiemdakhoa.com được xây dựng và phát triển trên mã nguồn mở MyBB.
+ Chúng tôi không chịu trách nhiệm về nội dung do thành viên đăng tải.
+ Truy cập website này nghĩa là bạn đã chấp nhận Quy định của Diễn đàn.
+ Nội dung trên diễn đàn chỉ mang tính tham khảo, khi điều trị cần tuân theo chỉ dẫn của bác sĩ.
Thời gian hiện tại:
04-22-2026, 06:55 AM
Được cung cấp bởi
MyBB
, © 2002-2026
MyBB Group
.
Chế độ Linear
Chế độ Threaded